男性,20岁。四肢瘫,长期气管切开并机械通气。
医学史包括高LgM综合征,全身肌张力障碍。因为气管软化,放置了长度可调气管套管。
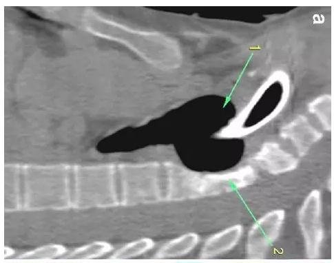
胸部CT显示气切套管气囊周围气管扩张,胸1-4椎体前部受到侵蚀(下图a-c)。
患者入住我院前行胸MRI已经发现类似表现(图d),当时诊断为骨髓炎。
下图箭头1为气切套管气囊紧贴T1-4椎体水平,造成椎体前部受到侵蚀(箭头2):



作者推测患者骨质吸收、骨髓炎与气切套管气囊过度膨胀有关,为气囊过度膨胀造成椎体血流灌注降低所致。在我院住院期间,我们也发现高气囊压力才能防止漏气。经食道内镜检查未发现气管食管瘘。
在气切套管气囊过度膨胀和气管软化的患者中,椎骨受到侵蚀是气管切开的罕见并发症,早期影像学检查有利于预防病情的进展。
文献出处:
Intensive Care Med. 2017 Feb;43(2):267-268. doi: 10.1007/s00134-016-4561-7. Epub 2016 Sep 29.
Vertebral erosion: a rare complication of tracheostomy tube.