患者女性,21岁,间断咳嗽、咳痰3年,加重伴发热10日。
10天前咳大量黄色粘液痰,伴憋气,发热,Tmax 38.5℃,自服“感冒药”无缓解,急诊血常规:WBC 21.52*10^9/L,NEUT% 82.5%,PLT 346*10^9/L,HGB 147g/L;血气分析:pH 7.423,pCO2 40.5mmHg,pO2 82.4mmHg,cLac 1.1mmol/L。
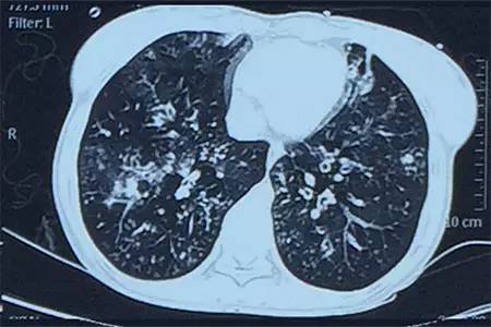
肺CT见下图




该患者肺部影像学表现为明显的支气管扩张,同时伴有弥漫的渗出斑片影,考虑合并感染,细菌学培养提示为绿脓杆菌,结合药敏结果给予头孢他啶+阿米卡星抗感染,患者存在II型呼吸衰竭予气管插管机械通气支持,加强体位引流排痰,治疗18天,患者情况好转出院。
【解析】
•支气管扩张是一种慢性咳嗽和产生黏痰的综合征,与气道扩张和支气管壁增厚有关。加重通常是由急性细菌性感染引起
•对支气管扩张的大多数病因而言不可能治疗其基础疾病。特异性治疗可能中断支气管扩张进展的病程实例包括:非结核分枝杆菌(NTM)感染、某些免疫缺陷、囊性纤维化(CF,当存在G551D突变时)、反复误吸、变应性支气管肺曲霉病、气管支气管巨大症和可能与风湿性疾病有关的支气管扩张。
•支气管扩张急性加重的抗生素初始方案,应依据先前的痰培养和药敏试验个体化开展,而非经验性选择。
•对既往发生多次加重或无近期痰培养数据的患者,我们建议开始使用一种氟喹诺酮类抗生素(如左氧氟沙星、莫西沙星),而非其他替代口服抗生素(Grade 2C)。
•对因急性加重而住院的患者,我们建议启用对铜绿假单胞菌有效的静脉用抗生素(Grade 2B)。或者,对发生急性疾病且有铜绿假单胞菌耐药性菌株生长史的患者,我们选择两种具有不同作用机制的抗假单胞菌抗生素,但采用二联疗法的必要性尚存争议。
•对急性加重的治疗,我们建议抗生素治疗10日,而非缩短疗程(Grade 2C)。有时,如果患者存在耐药性微生物或有所改善但未恢复至基线水平,则需更长的疗程。
•对存在复发性加重的患者,建议采用一种大环内酯类抗生素进行预防性治疗(Grade 2B)。启用预防性抗生素治疗的门槛是1年内发生2次或更多次加重。在开始长期大环内酯类治疗前进行痰染色和培养,以排除非结核分枝杆菌(NTM)感染
•吸入用糖皮质激素并不常规用于支气管扩张患者,除非有指征将其用于控制并发的哮鸣音或哮喘。全身性糖皮质激素应保留用于急性加重伴提示哮喘的哮鸣音,且应联用抗菌治疗。
•在特定患者中采用的其他药物治疗包括:吸入用支气管扩张药、减少胃食管反流的药物和免疫接种。
•支气管扩张引起致命性咯血患者可能需要止血措施;胸部CT和支气管镜检查可能有助于确定出血部位。活动性咯血患者可能需要行支气管动脉栓塞或切除术,以便止血或减轻出血
•手术切除术和肺移植术可用于治疗特定的内科难治性患者。
Tips
药敏结果+长疗程对于反复的支气管扩张并感染患者尤为重要。