
患者为一名65岁的男性,患有2型糖尿病并且血糖控制不佳,因2-3个月的体重减轻(7-8公斤)、饱腹感、轻度腰痛而就诊。在这些症状出现之前,有3-4周的皮疹病史。皮疹涉及手臂、生殖器和臀部,并进一步发展到大腿(如图A所示)。
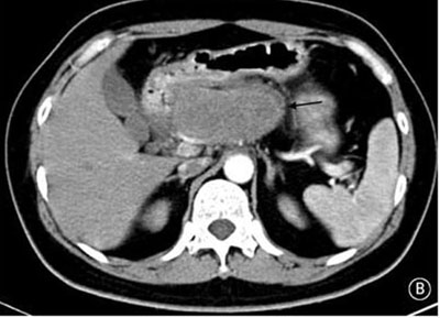
就诊时实验室检查结果显示严重高血糖(血糖水平为982mg/dL[55mmol/L])。腹部CT检查显示胰头部位出现一个9cm大小的肿块(如图B箭头所示)。空腹血清胰高血糖素水平为530pg/ml(正常值≤80pg/ml)。
该患者进行了胰十二指肠切除术,切除组织病理学检查显示边界清楚、低度恶性神经内分泌肿瘤,与胰高血糖素瘤一致(如图C所示)。邻近结构未观察到转移性疾病或侵入的迹象。手术后5天内,大腿上的皮疹开始消失(如图D所示),并且重复测量空腹胰高血糖素水平为39pg/ml。
患者出院回家后接受胰岛素治疗,1年后并没有疾病无复发迹象。胰高血糖素瘤是罕见的神经内分泌肿瘤,可引起迁徙性的皮疹,消瘦,以及不断恶化的葡萄糖不耐受。