学员登录:
网站首页
通知公告
培训动态
医学资讯
医学会议
教学日志
政策法规
医学交流
医学专题
新型冠状病毒感染的肺炎
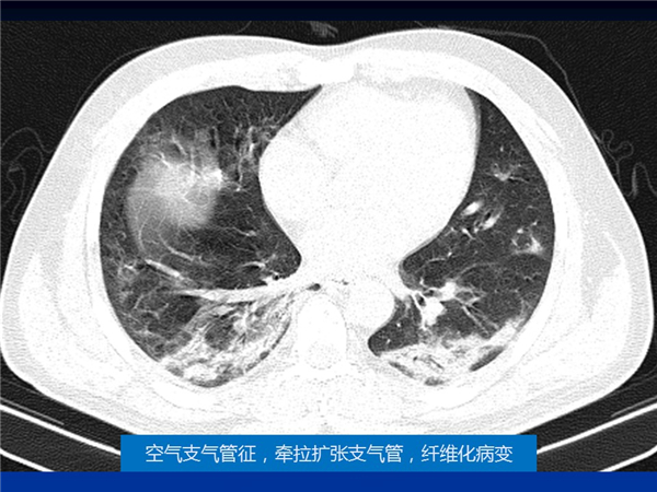
【病例分享】新型冠状病毒感染肺部CT影像4例(常德市第一人民医院)
发布时间:2020-02-10 浏览量:1642
友情链接